美しい白い歯は、笑顔の魅力を引き立てる重要な要素です。また、歯列矯正をして歯並びがきれいになってくると、歯を白くしたくなる患者様も大変多いです。
歯は、きちんと歯磨きをしていても食事や飲み物の摂取、喫煙、加齢などの要因により、どうしても徐々に着色してしまうことがあります。
そんな悩みを解消するためにおすすめなのが、歯のホワイトニングです。

医療ホワイトニングとは?
医療ホワイトニングは、クリニック(歯科医院)で行われるプロフェッショナルなホワイトニング治療のことを指します。
クリニック専用の薬剤や特殊な光を使用して歯の着色物質を取り除き、明るく白い歯を実現します。


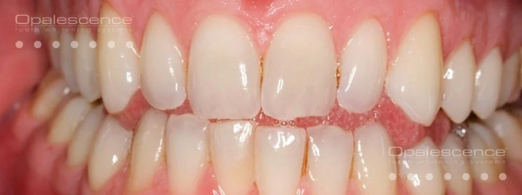
こちらのビフォーアフターは当院で取り扱っております「ホームホワイトニング(オパールエッセンス)」になります。
歯科医師及び歯科衛生士が行うため、安心して施術を受けていただくことができます。
また、術前術後のケアやアドバイスもしっかりと行えるので、医療ホワイトニングではないホワイトニングサロンと比べて効果が高く、安全性が高いのが特徴です。
歯の黄ばみの原因

ステイン
お茶やコーヒー、ワインに含まれるポリフェノールやタバコのヤニが歯の表面に付着することで黄ばみの原因になります。
表面のステインは日頃の歯磨きではなかなか落とすことのできない一方で、クリニックでの専用器具を用いたクリーニングでもある程度は改善できます。しかし、ホワイトニング薬剤を使用することでより効果的に漂白することが可能です。
加齢
歯は三層構造になっており、真ん中の象牙質(ぞうげしつ)という層が濃いクリーム色をしているので、それが透けて見えることで歯が黄ばんで見えます。
象牙質は加齢とともに厚くなっていくので、どなたでも年齢を重ねるごとに歯の色は濃くなっていきます。
歯の内側の黄ばみなのでクリーニングでは改善することが出来ず、ホワイトニングでのみ白くすることが可能です。
薬剤
子供の頃に飲んでいた薬剤によって歯に著色が見られることがあります。
代表的なものでは「テトラサイクリン歯」と呼ばれるものがあります。こちらも歯の内側の黄ばみです。
ホワイトニングの種類
デュアルホワイトニング
即効性 5.0 ★★★★★
色持ち 4.0 ★★★★☆
オフィスホワイトニングとホームホワイトニングを並行して行う方法です。平行して行うことで、オフィスホワイトニングの即効性もありながら、自然な白さが長持ちします。ふたつの長所を生かし、短所を補い合う方法です。早く白くしたいけど長持ちさせたい方におすすめです。
オフィスホワイトニング
即効性 5.0 ★★★★★
色持ち 3.0 ★★★☆☆
早く白い歯を手に入れたい方におすすめ!
クリニックにご来院いただき、ドクターもしくは歯科衛生士が行う施術です。クリニックでしか使用できない薬剤(過酸化水素)を使用します。
過酸化水素は水と反応すると活性酸素が生成されます。この活性酸素が歯の表面の着色汚れやエナメル質の中の黄ばみを分解することで歯を白く見せていきます。
ホームホワイトニングと比較して、陶器のような白さになるのが特徴です。即効性があり一度の施術で2〜3段階白くすることが可能です。月に一度程度、定期的に施術することで白さを保ちます。
ホームホワイトニング

即効性 3.0 ★★★☆☆
色持ち 5.0 ★★★★★
自然な白さを目指す方におすすめ!
ご使用中のマウスピースと専用のホワイトニング剤(過酸化尿素)で行うホワイトニングです。過酸化尿素は酸化反応の過程で過酸化水素に変化し、黄ばみの分解を行います。
過酸化尿素は過酸化水素よりもややマイルドな薬剤のためご自宅での使用が可能ですが、こちらもクリニックでしか使用・お渡しができない薬剤です。

使用時間は1日1〜2時間、ご自宅で好きな時間に好きなときに出来ます。ホームホワイトニングでは薬剤が象牙質まで浸透して歯の黄ばみを分解するので、歯そのものを自然な白さにすることが可能です。
オフィスホワイトニングと比較して即効性はやや劣りますが、一度白くなると後戻りしにくいのも特徴です。
ホワイトニングの効果持続期間は?

ホワイトニング効果の持続期間は歯並びや歯の質、ホワイトニングの方法によって個人差がありますが、一般的にはオフィスホワイトニングで約3〜6ヶ月、ホームホワイトニングで約1年とされています。
ただし、それぞれ継続的に施術を受けていただくことで、より長持ちさせることができます。
どれくらいトーンアップする?
元々の歯の色や歯の質によりますが、オフィスホワイトニングは一度のご来院で2〜3段階トーンアップします。一方、ホームホワイトニングはじわじわ効果が表れてくるものなので、2〜3週間継続すると2〜3段階トーンアップすると考えてよいでしょう。

上の図は、シェードガイドと呼ばれる歯の色見本です。
一般的な日本人はA3〜A3.5の範囲の色味の方が多いです。一方、他者から見て白くて綺麗と思われる歯の色は010〜040の範囲と言われているため、ホワイトニングではこのあたりの色味を目指す方が多いです。
もちろんもっと自然に少しだけ白くしたいというご要望も、薬剤の濃度や施術頻度を調整することで叶えることが可能です。
理想の白さになるまでの施術回数は?

患者様の歯の色味をシェードガイドで確認して、どれくらいトーンアップしたのか確認していきます。
例えば初めてのご来院時に歯の色がシェードガイドA3だった場合、だいたい3回程度のご来院で040の色味まで到達すると予測できます。より早く白くしたい場合は、ホームホワイトニングとの併用(デュアルホワイトニング)がおすすめです。
シェードガイドを見ると毎回白くなったことが確認できるので、モチベーションも保ちやすく、ホワイトニングが楽しくなってきます。
ホワイトニング 料金表
| ホームホワイトニング (オパールエッセンス) ¥2,860(税込) 濃度3種(10%、15%、20%) |
| 1本・約1週間分 |
エステと歯科医院と自宅の
ホワイトニングの違い
選ぶべき最適なのはどれ

クリニック(歯科医院)で取り扱うホワイトニング用の薬剤は、歯科医院ではないエステサロン等では用いることができません。
ホワイトニングサロンやエステサロンでは歯科医師が在籍していないので過酸化水素水を使用する事ができません。よって、主にポリリン酸ナトリウム・炭酸水素ナトリウムなどを使用して、セルフホワイトニングを行っていきます。
もともと歯が白い方はセルフホワイトニングでも白さを実感する事がありますが、自身の歯を内側から本来以上に白くしたい方にはクリニックでのホワイトニングの方が白さを実感できるでしょう。
ポリリン酸ナトリウムや炭酸水素ナトリウムは、過酸化水素水と違い歯の漂白効果はないものの、歯の表面の着色を分解する効果はあります。
ホワイトニングの制限飲料
施術後に避けるべき飲み物

ホワイトニング施術後は、一時的に歯がデリケートになることがあります。そのため、施術後30分は刺激の強いものや着色の恐れがあるものは避けた方がいいでしょう。
例えばコーヒーや紅茶、赤ワインなどは、色素成分が歯に付着しホワイトニング効果を損なう可能性があります。
また、酸性の飲み物も歯のエナメル質の修復を阻害することがありますので、柑橘類のジュースや炭酸飲料も控えたほうがいいです。
さらに、アルコールやタバコもホワイトニング効果に悪影響を及ぼすことが知られていますので、できるだけ避けるようにしましょう。
代わりに、ホワイトニング後には積極的に水を摂ることをおすすめします。
水は歯の清掃や唾液の分泌を促進し、口内環境を健康的に保ちます。さらに、白く輝く歯を維持するために、ホワイトニング専用のマウスウォッシュやフッ素入りの歯磨き粉を使用することも効果的です。
ホワイトニングは、美しい白い歯を手に入れるための効果的な方法ですが、それぞれのお悩みや歯の質、ライフスタイルにあった方法や適切なケアが重要です。
白くて綺麗な歯を手に入れるために、是非当院の歯科医師または歯科衛生士にご相談ください。
